
Introduction Weasis DICOM Viewer is a free, open-source software designed for dental visualization and implant planning. It is widely used in dental clinics and hospitals

Introduction Weasis DICOM Viewer is a free, open-source software designed for dental visualization and implant planning. It is widely used in dental clinics and hospitals

Introduction OpenMolar is a free, open-source dental practice management software that offers a comprehensive solution for dental clinics. It provides a range of features, including

Introduction ClinicCases is a cutting-edge dental planning tool designed to streamline dental visualization and implant planning for clinics. In this article, we will delve into

Introduction OpenEMR is a free and open-source dental practice management software that offers a wide range of features for dental visualization and implant planning. In

Introduction Blender (Dental add-ons) is a free, open-source 3D creation software that has been widely adopted in the dental industry for dental visualization and implant

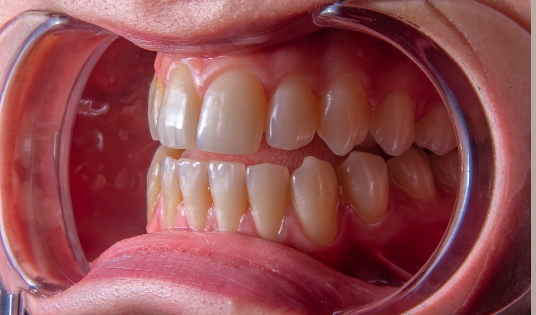
Introduction Weasis DICOM Viewer is a powerful and versatile digital radiography and imaging software designed specifically for dental professionals. This free dental planning tool offers

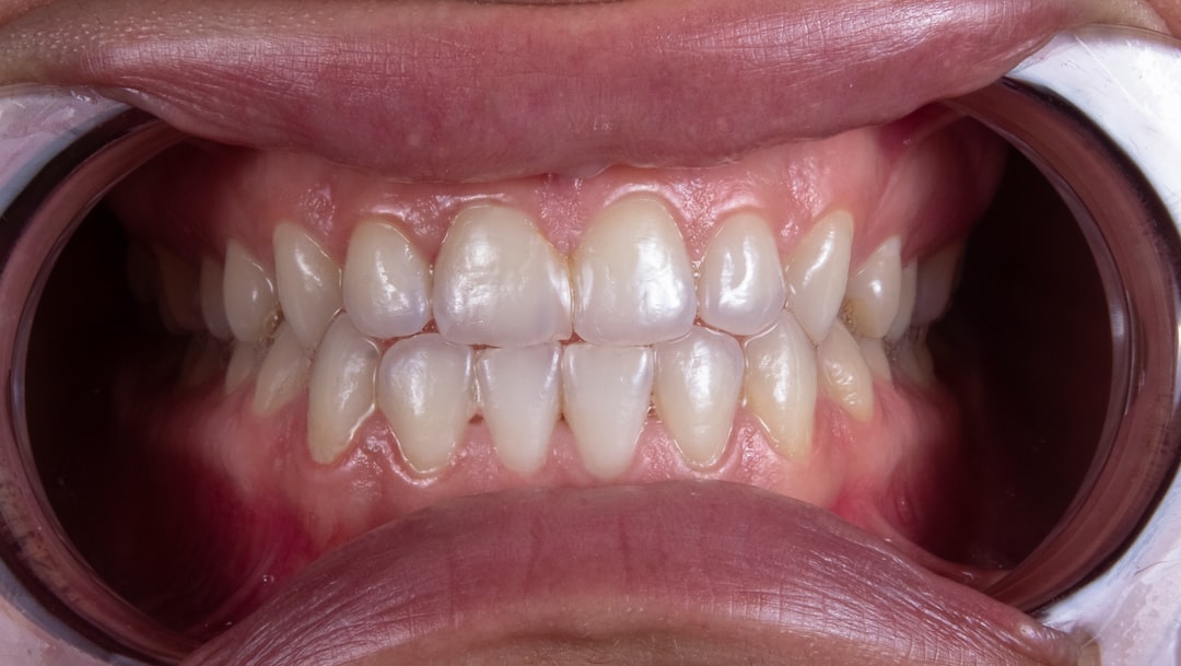
Introduction ToothMorph is a cutting-edge dental planning tool designed to revolutionize the way dentists and clinics approach implant planning and dental visualization. As a free,

Introduction GIMP (Medical Plugins) is a free and open-source software that has revolutionized the field of dental visualization and implant planning. This powerful tool is

Introduction ClinicCases is a free dental planning tool designed to enhance the workflow of dental clinics. It offers a range of features that facilitate dental

Introduction FreeMED is a comprehensive electronic medical record (EMR) and patient management system designed to streamline dental clinic operations. In this article, we will explore
Discover the Mission Behind Our Free Dental Software Hub
When you explore our free dental software catalog, you’re accessing more than just tools. Our mission is to deliver carefully curated, reliable solutions—from patient records to digital imaging—that are vetted by IT specialists for ease of use and long-term stability. We focus on simplifying technology for solo dentists, small practices, and large networks alike, ensuring every tool integrates smoothly into your clinical workflow.